试题详情
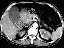
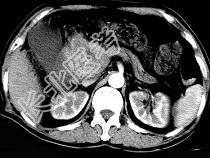
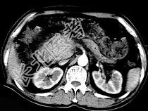
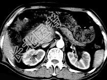
- 单项选择题男,50岁, 黄疸进行性加重、腹部胀痛不适、食欲减退、体重减轻、上腹部可触及肿块,CT如图, 最可能的诊断是 ( )




A、胰头癌
B、转移瘤
C、慢性胰腺炎
D、急性胰腺炎
E、腹膜后淋巴瘤
关注下方微信公众号,搜题查看答案

热门试题
- 1、CT检查发现左肺门、主动脉窗和1、2
- 1、该患者诊断应考虑为 ( )A
- 乳腺癌最常见的转移部位为A、肾上腺B、脑
- 早期乳癌,临床上无腋窝淋巴结肿大者,单独
- 肺组织切片检查,光镜下见细支气管上皮脱落
- 有关E–Cadherin描述不正确的是(
- 哪些属于5-FU治疗的新进展 (
- 上消化道和上呼吸道鳞状细胞癌最常见的发病
- 乳腺癌发生的危险因素不包括A、长期使用雌
- 以下关于NK/T细胞淋巴瘤放疗后复发的描
- 未经治疗的恶性肿瘤骨转移中,骨转移灶F-
- 没有淋巴结受侵和远处转移的Ⅰ期黑色素瘤患
- 1、中上颈部多发肿大淋巴结,病理为鳞癌,
- 关于子宫内膜癌淋巴转移无误的是 (
- 以下哪些是筛查肿瘤的选择应具备的基本条件
- 1、最有助于膀胱癌确诊的检查是( )
- 患者,女, 35岁,扁桃体癌根治性放射治
- 舌活动部早期鳞癌(T
- Tc-MIBI肿瘤显像,尚未应用于临床的
- 以下关于交界性肿瘤的描述不正确的是A、交