试题详情
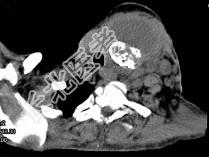
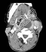
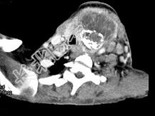
- 单项选择题女,64岁, 发现双甲状腺肿大1月余,CT如图所示, 最可能诊断是 ( )




A、甲状腺腺瘤
B、结节性甲状腺肿
C、甲状腺结核
D、甲状腺癌并淋巴结转移
E、甲状腺转移瘤
关注下方微信公众号,搜题查看答案

热门试题
- Tc-MIBI亲肿瘤显像尚未应用的肿瘤是
- 最常出现骨转移的疾病为A、宫颈癌B、胃肠
- 1、此时患者第一次到门诊就诊,询问病史和
- 部分喉切除术指的是术后部分喉功能得以保留
- 关于肺癌外科治疗的陈述无误的是 (
- 适合于中耳和乳突受侵的颞骨癌的常用手术方
- 患者女性,40岁, 发现下睑结节一月余。
- 女,50岁, 便血10余年,加重1年(连
- 参与控制肿瘤转移的免疫细胞为 (
- 男,55岁, 腹部胀痛不适1月余,CT检
- 男,57岁, 头痛、头晕1周,言语不清,
- 以下关于腮腺恶性肿瘤颈淋巴结的处理原则错
- 1、请问从该患者诊疗过程中需要学习以下中
- 以下哪组抗体的检测在临床上用于判定乳腺癌
- 未经治疗的恶性肿瘤骨转移中,骨转移灶F-
- 颈淋巴结占全身淋巴结的A、1/3B、1/
- 1890年,美国的William Ste
- 头颈部肿瘤的综合治疗强调计划性综合治疗,
- 以下关于抑癌基因描述正确的是( )A
- 1、下列镇痛治疗中错误的是2、关于癌性疼