试题详情
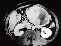
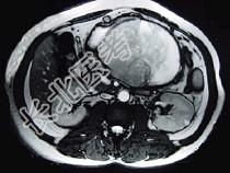
- 单项选择题男,36岁, 腹胀、消化不良、消瘦、中上腹痛,影像检查如下图, 最可能的诊断为 ( )




A、胃间质瘤并肝血管瘤
B、胃淋巴瘤伴原发性肝癌
C、胃间质瘤并原发性肝癌
D、内胚窦瘤肝转移
E、胃间质肉瘤并肝转移
关注下方微信公众号,搜题查看答案

热门试题
- 晚期恶性黑色素瘤的化疗主要用药为A、阿霉
- 原位癌的主要特征应为A、癌变波及上皮全层
- 1、为尽快明确诊断,结合该患者的CT检查
- 肺癌多发又是淋巴结转移的最常见部位为(
- 1、该患者的临床分期是( ) (
- 头颈部肿瘤放疗中可出现明显腮腺肿痛时正确
- 女,45岁, 右眼视力下降8个月,右颜面
- 肿瘤的异型性主要反映A、肿瘤的组织来源B
- 1、应进行的检查有2、其高转移风险有(提
- 伊马替尼单药治疗慢性粒细胞白血病的血液学
- 对于未经治疗的霍奇金淋巴瘤,Ga显像诊断
- 关于骨骼肌肉系统肉瘤的治疗,叙述不正确的
- 阿霉素的心脏毒性的限制性剂量为( )
- 1、根据以上征候,最可能的诊断是 (
- 喉癌最好发部位为 ( )A、声带
- 1、该患者目前最佳的治疗选择是( )
- 放射免疫显像的禁忌证是A、早期癌肿B、术
- 以下属于癌前疾病的是A、肺结核球B、纤维
- 膀胱肿瘤中最具有价值的诊断是 (
- 以下关于肿瘤患者的营养支持说法错误的是A