试题详情
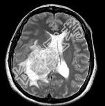
- 单项选择题女,45岁, 右眼视力下降8个月,右颜面麻木半个月, 时有头昏,味觉减退, 请根据所提供图像,选择最可能的诊断是 ( )




A、(右侧脑室)胶质瘤
B、(右侧脑室)脉络膜乳头状瘤
C、(右侧脑室)转移瘤
D、(右侧脑室)室管膜瘤
E、(右侧脑室)脑膜瘤(合体细胞型)
关注下方微信公众号,搜题查看答案

热门试题
- 1、该患者的临床分期为(AJCC分期标准
- 以下关于乳腺癌术后上肢水肿的康复训练说法
- 1、最可能的诊断是 ( )2、在
- 前列腺癌治疗原则以下哪项不正确 (
- 影响肿瘤发病风险的因素包括有( )A
- 女性患者,54岁, 因吞咽疼痛行喉镜发现
- 1、最有助于膀胱癌确诊的检查项目是 (
- 诊断恶性肿瘤最可靠的依据为A、出现转移B
- 患者男,60岁。吞咽困难3个月, 食管镜
- 预后最差的胃肠间质瘤原发部位为A、胃B、
- 患者,女性, 56岁,间歇性无痛性全程血
- 放射治疗中应用最广的射线是A、浅层X线B
- 直肠癌误诊的最常见是因为什么 (
- 以下药物中属于TopoⅠ抑制剂的有(
- 1、临床TNM分期为( )2、手术治
- 分化差的恶性瘤一般是( )。A、对放射
- 与胃癌发病相关的生物因素包括( )A
- 1、为明确诊断,首先进行的检查是(
- 女,50岁, 中上腹疼痛,消瘦乏力, 影
- 1、该患者诊断可能是( ) (内