试题详情
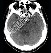
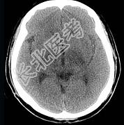
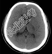
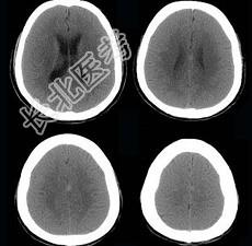
- 单项选择题男,57岁, 头痛、头晕1周,言语不清, 饮水呛咳两天,既往有鼻咽癌病史, 给予放射治疗,CT检查如图所示, 最可能的诊断是 ( )




A、放射性脑病
B、脑梗死
C、脱髓鞘病变
D、胶质瘤
E、脑炎
关注下方微信公众号,搜题查看答案

热门试题
- 不符合胃癌转移的叙述是 ( )A
- 乳腺癌根治术后行放疗的指征是 (
- 有关辐射的直接作用和间接作用的描述,不正
- 肿瘤转移是( )。A、多步骤B、有组织
- 50岁女性患者,体检发现右侧甲状腺有较硬
- 有关卵巢交界性浆液性乳头状囊腺瘤描述不正
- 男,68岁, 头痛头昏、左侧肢体肌力减退
- 患者男性,65岁, 发现下睑硬结1月余。
- 1、临床分期为2、基于目前最好证据哪种方
- 声门上区喉癌超分割放射治疗的5年局部控制
- 关于睾丸肿瘤,不正确的是 ( )
- 1、请问该患者需补充的检查内容包括(
- 对姑息医学的理解,以下叙述中错误的是(
- 肝癌的一线诊断方法为A、MRIB、肝动脉
- 胸腺瘤致死的主要是因为A、肝转移B、骨转
- 1、首选的检查是2、最可能的诊断是3、下
- 1、首选的治疗为2、拟行化学治疗,首选的
- 绒毛膜癌最主要的治疗方式则是A、化疗B、
- 结肠癌最好发的转移部位为( )A、腹腔
- 1、为明确诊断,需行下列检查方式中的(