试题详情
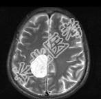
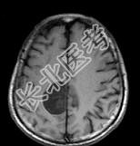
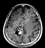
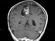
- 单项选择题男,68岁, 头痛头昏、左侧肢体肌力减退3个月余,请根据所提供图像, 选择最可能的诊断是 ( )




A、(右顶叶镰旁)血管外皮瘤
B、(右顶叶镰旁)转移瘤
C、(右顶叶镰旁)脑膜瘤(血管瘤型)
D、(右顶叶镰旁)胶质瘤
E、(右顶叶镰旁)恶性脑膜瘤
关注下方微信公众号,搜题查看答案

热门试题
- 社会心理肿瘤学(psychosocio-
- 髓母细胞瘤综合治疗的5年生存率为 (
- 下列关于原发性骨肿瘤活检术不正确的是A、
- 切除子宫做病理检查,光镜下见子宫壁深肌层
- 口腔癌TNM临床分期中,关于N3a的诊断
- 治疗霍奇金病的MOPP联合化疗方案中长春
- 以下药物中,可被选为小细胞肺癌在经典化疗
- 一例病人服用吗啡缓释片时可出现嗜睡症状,
- 以下不属于F-FDG肿瘤显像适应证是A、
- 关于恶性黑色素瘤脑转移的治疗描述不正确的
- 男,50岁, 嗜酒吸烟,近3周来可出现吞
- 有关靶向治疗描述不正确的是A、具有一定的
- 中医治疗肿瘤的治则有( )A、活血化
- 侵蚀性葡萄胎与绒癌鉴别点错误的是A、在葡
- 患者女性,53岁, 左乳改良根治术后病理
- 女,49岁, 间歇性无痛肉眼血尿3年余。
- 男,40岁, 有慢性肝炎史15年,近来腹
- 1、首先考虑的诊断是A、肠梗阻B、肺炎伴
- 以下有关眼睑基底细胞癌的说法,不正确的是
- 骨转移癌进行手术的目的主要为A、根治性手