试题详情
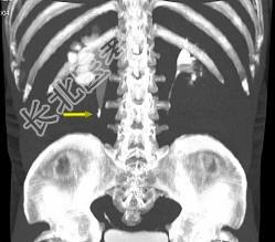
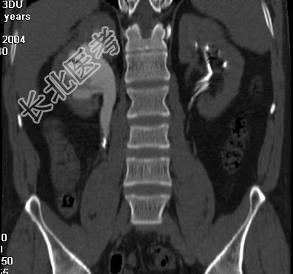
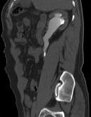
- 多项选择题患者男,36岁, 反复发作的右侧腰背部疼痛伴血尿1年余加重2小时,CT如图所示, 下列说法正确的是 ( )



A、右侧肾盂肾盏扩张
B、右输尿管上段扩张
C、右输尿管内可见沿输尿管走行的高密度影
D、右输尿管结石
E、右输尿管上段钙化
关注下方微信公众号,搜题查看答案

热门试题
- 急性腹痛伴休克最常见的病因是 (
- 心肺复苏(CPR)时按压/通气比为 (
- CO中毒时最易受损害的脏器除外 (
- 各型休克的共同特点 ( )A、有
- 休克早期,由于儿茶酚胺大量释放,造成
- 中度出血性休克的失血量一般为 (
- 急性失血时,下列哪项关于机体的早期代偿反
- 男性患者,32岁, 两天前被人踢伤胸部,
- 女,52岁, 有高血压病史,半小时前突感
- 男,44岁, 发热、右上腹痛半月,加重1
- 口服敌百虫中毒后不可用下列哪种洗胃液洗胃
- 在医院任何地方或救护车内发生的心脏停搏,
- 放置Swan-Ganz漂浮导管.要监测的
- 患者,男,20岁。郊游时,右足疼痛,30
- 急性中毒患者处于昏迷状态下不宜采用 (
- 男性患者,38岁, 突感胸部不适,X线检
- 属于扩血管活性药的是 ( )A、
- 休克经补液后,血压仍低, 中心静脉压不高
- 1、最可能的诊断是 ( )2、在
- 心源性休克的机制是 ( )A、心