试题详情
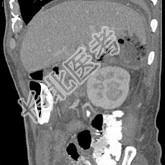
- 单项选择题男,44岁, 发热、右上腹痛半月,加重1天, 查体:右下肺呼吸音低, 影像检查如图,最佳诊断是 ( )


A、腹腔积液
B、膈下脓肿
C、肝包膜下出血
D、肝硬化腹水
E、肝癌
关注下方微信公众号,搜题查看答案

热门试题
- 患者,女, 30岁。误服氯丙嗪100片后
- 各型休克的共同特点 ( )A、有
- 心脏骤停后,大脑储备的葡萄糖和糖原可在多
- 患者男性,18岁, 感胸闷气逼,胸片检查
- 决定经胸电阻抗的因素包括 ( )
- 男,69岁, 于一天前饮酒后突发左侧肢体
- 患者,男, 30岁。被人发现时晕倒在地,
- 关于溺水治疗错误的是 ( )A、
- 心脏骤停的诊断标准应除外 ( )
- 急性腹痛伴休克最常见的病因是 (
- 一个羊水栓塞的患者出现:血小板计数9/L
- 利多卡因连续静脉滴注多少小时后应减量
- 关于休克晚期的临床表现错误的是 (
- 苯胺的中毒机制是 ( )A、阻碍
- 苦杏仁中毒后,最有效的解毒药是 (
- 气道梗阻需与下列哪些急症鉴别 (
- 每日使用胺碘酮的最大剂量为 (
- 呼吸骤停的原因有 ( )A、创伤
- 低血容量性休克的特点有 ( )A
- 男,68岁, 因一氧化碳中毒2天入院。查