试题详情
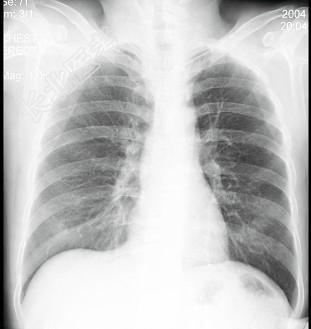
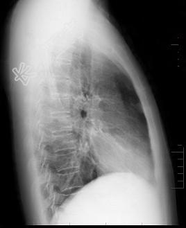
- 单项选择题男性患者,38岁, 突感胸部不适,X线检查如图, 最可能的诊断是 ( )


A、肺部炎症
B、胸腔积液
C、肺结核
D、正常心、肺、膈
E、气胸
关注下方微信公众号,搜题查看答案

热门试题
- 关于ARDS的治疗下列错误的是 (
- 哪种电解质紊乱可危及生命 ( )
- 1、需立即采取的最有效的措施是 (
- 静脉滴注利多卡因维持用药的剂量 (
- 患者,男, 70岁。家属发现其昏迷不醒,
- 男性患者,22岁, 突感呼吸困难,胸片检
- 患者,男, 60岁。咳嗽、气急、肺部湿性
- 其戒断综合征主要表现为躁动和癫痫样发作的
- 女,60岁, 因急性一氧化碳中毒24h入
- 现场需要心肺复苏抢救的特危重患者通常
- 男,62岁, 8小时前患者突发右侧肢体瘫
- 阿托品不适用于 ( )A、窦性心
- 气管插管正确的方法是 ( )
- 口服毒物中毒后,最常用的吸附剂是A、氢氧
- 理化因素所致疾病的诊断原则除外 (
- 1、最可能的诊断是 ( )2、在
- 男性患者,32岁, 两天前被人踢伤胸部,
- 对有呼吸和循环体征而无应答的患者,首先应
- 心血管功能的监护内容除外 ( )
- 治疗氨基甲酯类杀虫药物中毒除外哪项 (