试题详情
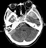
- 单项选择题男性,25岁, 外伤后行CT检查,最可能的诊断为 ( )



A、左顶枕部硬膜下血肿
B、左顶枕部硬膜外血肿
C、左顶枕叶出血
D、脑挫裂伤
E、脑膜瘤
关注下方微信公众号,搜题查看答案

热门试题
- 长期从事颜料工业的工人,其最可能的职业中
- CO中毒机制最主要是 ( )A、
- 改善心排出量和血压的药物对心血管系统的影
- 下列哪项不是肾上腺皮质激素用于治疗休克的
- 如果去甲肾上腺素发生药物渗漏,应尽快给予
- 急性失血时,下列哪项关于机体的早期代偿反
- 误服强酸后,以下哪一项不宜采用 (
- 男,76岁, 突发神志不清,伴呕吐6小时
- 胺碘酮适用于 ( )A、快速房性
- 损伤的现场急救不包括 ( )A、
- 重度出血性休克的失血量一般占总血容量的
- 心脏性猝死的最常见病因是 ( )
- 对心房颤动单相波转复的推荐能量为 (
- 心脏骤停后,大脑中的ATP在多长时间内可
- 下列哪种中毒不会引起血液凝固障碍 (
- 患者,男, 25岁。恶心、呕吐、步态不稳
- CPR中正确的口对口人工呼吸方法是 (
- 地西泮(安定)中毒时,最好的解毒剂是
- 用于治疗氰化物中毒的是 ( )A
- 男,62岁, 8小时前患者突发右侧肢体瘫