试题详情
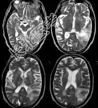
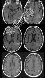
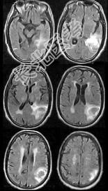
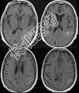
- 单项选择题男,76岁, 突发神志不清,伴呕吐6小时, MRI检查如图所示,最可能的诊断为 ( )




A、出血性脑梗死
B、肿瘤出血
C、原发脑出血
D、脑结核
E、脑脓肿
关注下方微信公众号,搜题查看答案

热门试题
- 一个羊水栓塞的患者出现:血小板计数9/L
- 中毒伴肾功能不全或昏迷患者不宜使用下列哪
- 男性患者,28岁, 夜间突感胸闷,呼吸困
- 死亡人数百至千人,或直接经济损失在百万元
- 人工呼吸每次吹气应不少于多少秒 (
- 气管插管正确的方法是 ( )
- 急性腐蚀性胃炎是由于吞服 ( )
- 关于电击的治疗,正确的是 ( )
- 心房扑动和阵发性室上性心动过速单相波转复
- 对于休克指数下列哪种说法不正确 (
- 1、重度有机磷中毒时血中胆碱酯酶活力是
- 下列哪项不是阿托品治疗有机磷农药中毒的作
- 女,35岁, 发现昏迷、尿失禁,半小时入
- 关于毒物的吸收、代谢和排出,下列说法错误
- 下列哪项是全身性炎症反应综合征(SIRS
- 急性有机磷杀虫药中毒治疗过程中出现“反跳
- 心跳骤停时最常见的心律失常是 (
- 患者,女, 80岁。发热,右上腹痛, T
- 干蛇毒的主要成分是 ( )A、糖
- 对各种镇静催眠药均有效的治疗措施是 (