试题详情
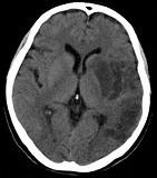
- 单项选择题男,62岁, 8小时前患者突发右侧肢体瘫痪1天,构音不清, CT检查如图,最可能的诊断是 ( )


A、脑梗死
B、星性胶质瘤
C、脑脓肿
D、少突胶质细胞瘤
E、血管母细胞瘤
关注下方微信公众号,搜题查看答案

热门试题
- 重症监护治疗病房(ICU)的主要临床任务
- 用作生物恐怖的生物剂为 ( )A
- 男性患者,22岁, 突感呼吸困难,胸片检
- 患者,男, 36岁。误服地西泮20片后,
- 中毒伴肾功能不全或昏迷患者不宜使用下列哪
- 有机磷杀虫药中毒发生肺水肿,首选措施是
- 下列哪种情况应减慢补液的速度 (
- 关于机械通气压力的说法下列哪些正确 (
- 患者,男,56岁。误吞鸡骨后,下咽疼痛,
- 同一时间、同一地点,一批患者出现了类同综
- 心源性休克最常见的病因是 ( )
- 患者,男, 25岁。恶心、呕吐、步态不稳
- 呼吸支持的主要指征是 ( )A、
- 自动电击除颤(AED)的操作方法正确的是
- 有机磷农药中毒的发病机制是 (
- 患者,男, 72岁。神志不清,大动脉搏动
- 心肺复苏时胸外按压的部位是 (
- 男,62岁, 8小时前患者突发右侧肢体瘫
- 中度有机磷杀虫药中毒血胆碱酯酶活力值
- 哪种电解质紊乱可危及生命 ( )