试题详情
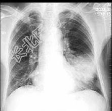
- 单项选择题男性患者,62岁, 咳嗽发热两天,痰中带血, 胸片检查如图,最合理的诊断是 ( )

A、左下肺炎症
B、左肺癌伴阻塞性肺炎
C、细支气管肺泡癌
D、左侧胸膜炎
E、左侧胸腔积液
关注下方微信公众号,搜题查看答案

热门试题
- 关于冻僵,下列说法错误的是 (
- 判断失血性休克患者是否继续出血,应反复检
- 急性中毒的治疗首选 ( )A、立
- 一急性重度有机磷中毒患者,经抢救治疗半月
- 患者,男, 18岁。鼻塞,流涕伴咳嗽近1
- 下列哪种物质中毒具有缺氧和抑制酶的活力双
- 一个既往体健的胆道结石患者,手术后出现呼
- 下列哪种中毒可引起瞳孔缩小 (
- 有效循环血容量指的是 ( )A、
- 女,79岁, 突发神志不清,请结合影像图
- 急发型过敏性休克常发生在接触过敏原后
- 呼吸骤停的原因有 ( )A、创伤
- 下列哪种人可进入高原地区 ( )
- 男,3岁, 头颅被球击中,请结合CT图像
- 重度出血性休克的失血量一般占总血容量的
- 患者,男, 72岁。神志不清,大动脉搏动
- 73岁男性患者,呼吸急促半天入院, 常规
- 对经消化道吸收毒物引起急性中毒的诊断,常
- 82岁,女性, 突发右侧胸痛,呼吸急促,
- 患者,男,68岁,咳嗽、气急、口唇轻度发