试题详情
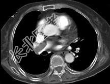
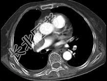
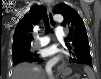
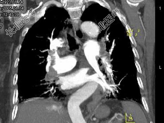
- 单项选择题82岁,女性, 突发右侧胸痛,呼吸急促, 行急诊CT检查,如图所示, 请选择最佳答案 ( )




A、中央型肺癌
B、肺门淋巴结肿大
C、肺动静脉瘘
D、肺动脉栓塞
E、肺动脉瘤
关注下方微信公众号,搜题查看答案

热门试题
- 关于高原病的治疗方法,正确的是 (
- 危重症患者机体的代谢以下列哪项为主 (
- 急性腹痛伴休克最常见的病因是 (
- 治疗氨基甲酯类杀虫药物中毒除外哪项 (
- 患者,女, 46岁;风湿性心脏病患者,
- 遭遇电击时,最容易引起室颤的是 (
- 患者,女, 20岁。作静脉胆道造影检查时
- 关于休克的治疗,下列哪些说法正确 (
- 下列哪种情况可考虑溶栓治疗 (
- 异丙肾上腺素的适应证 ( )A、
- 过敏导致的心脏骤停的治疗措施包括 (
- 下列哪一种物质中毒不引起发绀 (
- CO中毒机制最主要是 ( )A、
- 心肺复苏时使用碳酸氢盐的起始剂量正确的为
- 患者,男, 67岁。胸痛10小时,伴冷汗
- 患者,男, 20岁不慎跌入结冰的河水中,
- 休克失代偿期表现有 ( )A、四
- 国际ACLS组织制定的心脏骤停前情况为
- 1、下列哪项处理最恰当 ( )2
- 休克患者血压低,中心静脉压低,提示 (