试题详情
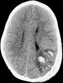
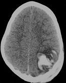
- 单项选择题男,3岁, 头颅被球击中,请结合CT图像, 选择最可能的诊断是 ( )




A、高血压性脑出血
B、脑结核
C、脑挫裂伤血肿形成
D、动脉瘤破裂出血
E、血管畸形
关注下方微信公众号,搜题查看答案

热门试题
- 多数淹溺患者猝死的主要原因为 (
- 小剂量多巴胺的主要作用是 ( )
- 下列哪种疾病中常表现为腹痛 (
- 患者,男, 70岁。胸痛心悸伴晕厥1次。
- 过敏导致的心脏骤停的治疗措施包括 (
- 海(水)产品或盐腌渍品常引起下列哪一类食
- 危重症患者机体的代谢以下列哪项为主 (
- 1、下列哪一项检查不能监测肾小管功能
- 发生晕车、晕机或晕船时,可给予 (
- 原发性心室颤动多于冠状动脉阻塞后什么时候
- 感染性休克的处理原则是 ( )A
- 关于解磷定治疗有机磷农药中毒,下列哪项表
- 1、患者送入ICU后,最合适的监护措施是
- 男,65岁,有高血压及糖尿病史十余年,近
- 感染性休克时使用血管扩张剂注意点是 (
- 关于正常状态下微循环错误的是 (
- 张力性气胸系指 ( )A、胸腔抽
- 关于急性中毒的特点下列哪一项是错误的
- 患者为一农药灌装工,在无防护的情况下连续
- 心肺复苏(CPR)时按压/通气比为 (