试题详情
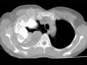
- 单项选择题男,66岁, 剧烈胸痛,请结合CT图像, 选择最可能的诊断 ( )



A、右侧胸腔积液胸膜钙化
B、右肺癌侵犯胸膜
C、右侧胸膜间皮瘤
D、右侧肺不张
E、右侧肺肺癌
关注下方微信公众号,搜题查看答案

热门试题
- 肺癌的转移途径常见的有A、血行转移B、淋
- 女,56岁, 近1个月来感右胸部疼痛,胸
- 小细胞肺癌最重要的临床病理特点是A、女性
- 大量输血后患者不会出现A、高钾血症B、碱
- 肺癌手术的禁忌证是A、上腔静脉综合征B、
- 早期食管癌是指A、病变局限于肌层内B、病
- 脓性指头炎的切开引流切口应是A、波动最明
- 肺癌早期表现为A、无症状B、刺激性咳嗽C
- 1、最可能的诊断是 ( )2、应
- 二期愈合正确的是A、以纤维组织修复为主B
- 关于胸腺瘤的描述,下列哪项错误 (
- 患者,男性, 63岁,刺激性咳嗽三个月,
- 1、首先考虑的诊断是 ( )
- 1、合理的治疗方案是2、最可能的诊断是
- 可引起明显休克体征,溃疡急性出血量一般需
- 女,6岁, 胸闷,咳嗽, 胸部CT如图,
- 气管、支气管腺瘤的确诊方法为A、“咳嗽、
- 脓胸病人胸穿抽出脓液为暗灰色,较稠并有恶
- 术后腹胀的处理不包括哪一项A、肛管排气B
- 一养鸽女,48岁, 发热,咳嗽, 咳脓痰