试题详情
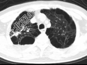
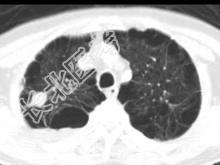
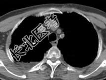
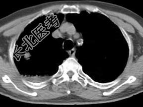
- 单项选择题男,76岁, 气喘数年,胸痛一月余, 结合影像图像,选择最可能的诊断 ( )




A、右上肺结核球
B、肺间质纤维化
C、右上肺瘢痕癌
D、右上肺错构瘤
E、右上肺肉瘤
关注下方微信公众号,搜题查看答案

热门试题
- 中央型肺癌的定义是A、肿瘤起源于主支气管
- 关于贲门失弛缓症,下列哪项是不正确的
- 关于纵隔肿瘤的描述,下列哪项是正确的A、
- 1、首先要考虑的诊断是2、首先要采取的紧
- 食管癌的X线表现不包括A、管壁僵硬B、黏
- 左下肺癌、右锁骨上淋巴结转移,其分期属于
- 关于胸骨旁纵隔镜手术,下列哪种说法是正确
- 下列关于创伤性(低血容量性)休克的典型临
- 休克抑制期的病理生理改变主要是A、微动脉
- 二尖瓣狭窄,产生肺水肿的最可能的原因是A
- 有关支气管扩张临床表现错误的叙述是A、咯
- 一般成人肠外营养的供应量,哪些是正确的A
- 对食管癌切除、颈部吻合术叙述错误的是A、
- Lung Volume Reductio
- 细支气管肺泡癌属于( )A、大细胞癌
- 胸部损伤造成呼吸困难的原因是 (
- 对偶发的室性期外收缩的患者,进行术前准备
- 休克病人应采取何种体位A、下肢低垂10°
- 胸片如图所示,这种典型的X线征象以下列哪
- 代谢性碱中毒治疗时输入等渗盐水是因为A、