试题详情
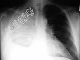
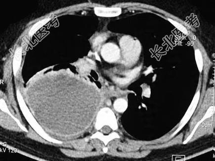
- 单项选择题男,59岁, 呼吸困难,胸痛, 有发热,请结合CT图像选择最可能的诊断 ( )




A、脓胸
B、肺脓肿
C、大叶性肺炎
D、肺囊虫病
E、肺癌
关注下方微信公众号,搜题查看答案

热门试题
- 1、药物治疗后,胸痛消失,但复查胸片,块
- 男,64岁, 患糖尿病,最近三天出现发热
- 1、根据临床表现及X线所示你认为以下哪种
- 女性,60岁, 患急性化脓性胆管炎。血压
- 1、最可能的诊断是2、如果患者进行了手术
- 1、首先考虑为下列疾病:A、贲门失驰症B
- 21岁,近2个月来咳嗽, 痰中带血丝,午
- 1、为进一步诊治首先应行的检查是2、经检
- 与支气管胸膜瘘发生无关的因素为A、缝合技
- 下列有关胸壁结核的陈述哪些是正确的A、胸
- 有关皮肤鳞状细胞癌的叙述哪项正确A、早期
- 损伤后出现全身性反应的主要环节是A、神经
- 胸部损伤后咯血或痰中带血提示A、血胸B、
- 下列临床表现对肺动脉口狭窄的诊断有帮助除
- 车祸病人急诊就诊,神志朦胧, 咯血,口鼻
- 有关食管癌淋巴转移正确的是A、食管的淋巴
- 肺癌早期表现为A、无症状B、刺激性咳嗽C
- 在何种情况下考虑支气管断裂A、广泛皮下气
- 闭合性单处肋骨骨折的治疗原则是 (
- 对于淋巴管瘤不正确的描述是A、起源于淋巴