试题详情
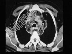
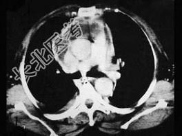
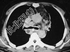
- 单项选择题男,64岁, 患糖尿病,最近三天出现发热, 伴颈静脉显露,结合CT图像, 选择最可能的诊断 ( )



A、坏死性纵隔炎
B、纵隔淋巴瘤
C、侵袭性胸腺瘤
D、恶性畸胎瘤
E、纵隔脓肿
关注下方微信公众号,搜题查看答案

热门试题
- 胸部损伤后咯血或痰中带血提示A、血胸B、
- 食管癌切除术后出现吻合口瘘多在术后(
- 男,36岁, 既往有肺结核史,近一年来出
- 关于胸段食管穿孔,叙述正确的是A、预后差
- 1、此时,首先考虑的辅助检查是2、通过上
- 食管中段,直径2cm平滑肌瘤,凸向管壁右
- 胆道感染最常见的致病菌是A、金黄色葡萄球
- 慢性脓胸的治疗措施有A、改善引流技术B、
- 关于食管癌的病理,下列哪项是正确的 (
- 以下哪些是肺癌早期表现A、声嘶B、痰中带
- 进行性吞咽困难患者,突然出现吞咽困难改善
- 肺癌的组织学分型不包括A、印戒细胞癌B、
- 1、为明确肿块性质,最好采取A、红外线摄
- 小细胞肺癌最重要的临床病理特点是A、女性
- 1、最可能的诊断是2、可作为确诊依据的实
- 腺癌的特点应除外 ( )A、多见
- 腹腔镜可应用于以下疾病,除了A、胆囊切除
- 女性,28岁, 既往有哮喘、肺大泡病史。
- 肺大疱病人突然严重呼吸困难,口唇发绀,诊
- 食管癌较多发生在A、胸中段食管B、胸上段