试题详情
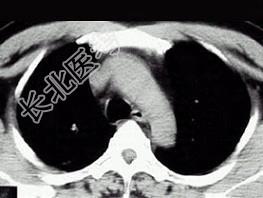
- 单项选择题21岁,近2个月来咳嗽, 痰中带血丝,午后手心足底发热, 盗汗、心悸,胸部CT见图, 最可能的诊断是 ( )


A、右上肺癌性空洞形成
B、继发性肺结核空洞形成
C、右肺脓肿
D、右上肺炎
E、肺囊肿
关注下方微信公众号,搜题查看答案

热门试题
- 有关食管憩室,下列描述中错误的是哪一项A
- 女,18岁, 自感胸闷,X线检查见纵隔占
- 非胃肠道手术,术前禁食时间是A、4小时B
- 最常见的膈疝是以下哪种A、食管裂孔疝B、
- 男性,46岁,因反复发作右下肺炎20余年
- 1、为明确诊断应采取下列哪项措施2、诊断
- 以下哪项不是腰麻术后并发症A、呼吸抑制B
- 关于闭式胸膜腔引流术,下列哪项是正确的?
- 男性,51岁, 因胸部外伤导致左侧血气胸
- 非特异性肋软骨炎多发于( )A、第1
- 多根多处肋骨骨折,胸壁包扎固定的作用为A
- 进行性吞咽困难患者,突然出现吞咽困难改善
- 1、首先判断此患者可能的诊断是2、此患者
- 男,67岁, 吞咽哽噎2个月,症状渐加重
- 男性,70岁, 因左上肺脓肿行左上肺叶切
- 早期食管癌最常用的治疗方法是A、放射治疗
- 中心静脉插管感染最常见的致病菌A、需氧革
- 下列肺癌的描述中,哪项是正确的 (
- 以下各项哪些是支气管袖状切除术的优点
- 休克早期,每小时尿量A、<25ml