试题详情
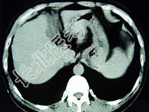
- 单项选择题男,52岁, 中上腹痛,影像检查如图, 最可能的诊断是  (    )
       
- A、慢性肥厚性胃炎 
- B、胃癌 
- C、胃溃疡 
- D、胃平滑肌瘤 
- E、胃平滑肌肉瘤 
- 关注下方微信公众号,搜题查看答案 
 
热门试题
- 男性,35岁。有溃疡病史,酒后突然上腹部
- 男性,49岁, 间断上腹疼痛2年,疼痛发
- 1、该患者最可能的诊断为( )。A、
- 1、该患的表现属于肝性脑病的哪个分期2、
- 酒精性肝炎的病理特征为A、肝细胞坏死B、
- 原发性胆汁性肝硬化的临床表现可有A、顽固
- 酒精性肝病的治疗措施有A、戒酒B、改善营
- 女性患者,58岁。肝硬化8年, 2型糖尿
- 溃疡病穿孔的X线检查所见中,有诊断意义的
- 下面哪些是腹腔结核感染的途径A、腹腔内的
- 下列关于结核性腹膜炎病人的发热特点,错误
- 诊断慢性胃炎最可靠的依据是 (
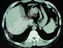
- 女,51岁, 上腹部隐痛不适,CT检查如
- 关于肝性脑病的发病机制,下列哪项是错误的
- 引起分泌性腹泻的原因包括A、小肠淋巴瘤B
- 治疗小肠细菌过度生长可使用的抗生素有(
- 关于Barrett食管,正确的描述有A、
- 女性,51岁。HBsAg (+)30年,
- 男,56岁, 胸骨后不适3个月,吞咽时有
- 自身免疫性肝炎的特点有A、高球蛋白血症B