试题详情
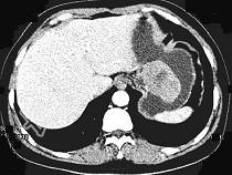
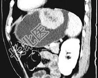
- 单项选择题女,51岁, 上腹部隐痛不适,CT检查如图, 可能的诊断是  (    )
     
- A、胃癌 
- B、胃息肉 
- C、胃腺瘤 
- D、胃溃疡 
- E、胃间质瘤 
- 关注下方微信公众号,搜题查看答案 
 
热门试题
- 原发性肝癌的细胞分型包括A、胆管细胞型B
- 下列不会诱发肝性脑病的是A、大量利尿B、
- 1、对该患者最可能的诊断是2、对该患者的
- 以下关于吞棉线试验的说法正确的是A、主要
- 原发性胆汁性肝硬化的临床表现可有A、顽固
- 治疗早期胃癌可选用哪些方法A、内科治疗B
- Trousseau征是指胃癌患者伴有
- 患者,男, 54岁。患肝炎后肝硬化10年
- 患者男性,20岁, 因吞咽后不适感2年余
- 男性,65岁,消瘦无力3个月,呕吐宿食,
- 1、为明确诊断,患者应先行哪些诊疗措施(
- 消化性溃疡行手术治疗的适应证A、大量出血
- 渗透性腹泻的特点正确的是A、粪便渗透压>
- 慢性萎缩性胃炎的患者一般不伴有下列哪种情
- 慢性萎缩性胃体胃炎治疗不正确的是 (
- 以下哪种情况需考虑恶性溃疡A、溃疡形状不
- 下列应高度怀疑为胃溃疡癌变是 (
- 亚急性重型肝炎患者,近2日出现上腹部不适
- 1、该患者最可能的诊断是2、该患者可能有
- 肝硬化患者常出现哪些内分泌功能紊乱A、雌