试题详情
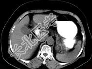
- 单项选择题女43岁上腹不适多年,体检行CT扫描如图, 最可能的诊断为 ( )

A、胃癌
B、胃平滑肌瘤
C、胃平滑肌肉瘤
D、胃淋巴瘤
E、胃蛔虫团块
关注下方微信公众号,搜题查看答案

热门试题
- 女性,30岁, 无溃疡病史,因关节酸痛常
- 女性,26岁。分娩半月后出现发热, 右下
- 下列成分哪些是由肝细胞制造的A、白蛋白B
- Trousseau征是指胃癌患者伴有
- 自身免疫性肝炎的肝外表现有A、发热B、关
- 感染乙型肝炎病毒时的年龄影响临床结果,下
- 胆汁反流性胃炎不宜使用 ( )A
- 关于Barrett食管,正确的描述有A、
- 女,33岁, 反复腹泻1年,间有脓血便,
- 慢性胃窦胃炎不宜使用的药物是 (
- 对肝硬化诊断最有价值的是A、腹水B、肝掌
- 1、提问:此时首先应作何处理2、提问:肝
- 慢性胰腺炎临床表现有A、不同程度的腹痛B
- 渗透性腹泻的特点正确的是A、粪便渗透压>
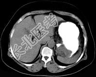
- 女43岁上腹不适多年,体检行CT扫描如图
- 1、为进一步明确诊断,下列哪项检查为首选
- 胃癌晚期血行转移最多见的部位是A、胃B、
- 有关Hp感染与NSAID在十二指肠溃疡发
- 结肠癌排便及粪便性状最突出的改变是A、腹
- 男性患者,53岁。有酗酒史, 3小时前进