试题详情
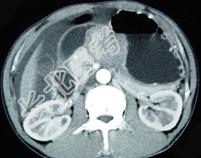
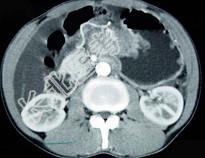
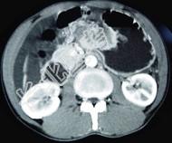
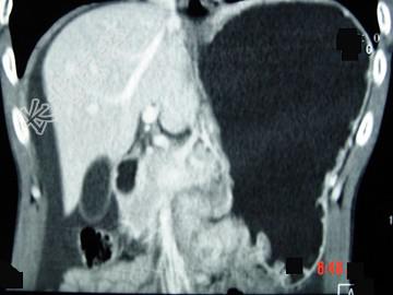
- 单项选择题男,65岁, 中上腹痛腹胀、消瘦、乏力、纳差,影像检查如图, 最可能的诊断是  (    )
       
- A、胃间质瘤 
- B、萎缩性胃炎 
- C、肥厚性胃炎 
- D、胃窦癌 
- E、胃淋巴瘤 
- 关注下方微信公众号,搜题查看答案 
 
热门试题
- 患者,男性, 48岁。1个半月前因右上腹
- 适用于胰头及胰腺体尾多发癌的胰腺癌手术方
- 关于肝肾综合征哪项是错误的 (
- 慢性胰腺炎所致的腹泻为A、感染性腹泻B、
- 餐后不适综合征的主要表现为( )。A
- 胆道蛔虫病的实验室检查结果,叙述正确的有
- 关于肝窦阻塞综合征(HSOS),正确的是
- 引起急性胰腺炎最常见的原因是( )。
- 胰腺疾病引起的吸收不良粪便中的脂肪排量增
- 下列哪项实验室指标符合急性水肿型胰腺炎
- 女性,48岁, 肝硬化患者,近1个月来腹
- 1、下一步应完善的检查是2、首先要鉴别的
- 1、需考虑的诊断是( )2、目前应给
- 1、根据患者现有病史,考虑其诊断为(
- 男性42岁,患肝硬化5年。三、四天前分别
- 溃疡性结肠炎的完整诊断包括A、临床类型、
- 妊娠期急性胰腺炎的临床特点A、只发生在妊
- 下列哪项不是肝硬化病人肝肾综合征的特点A
- 最多见的胰腺癌是( )。A、腺泡癌B
- 慢性迁延性肝炎的临床表现有A、病程超过半