试题详情
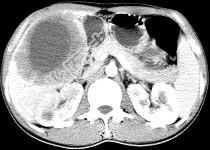
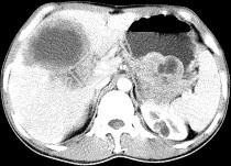
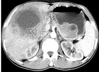
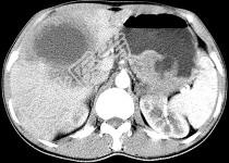
单项选择题女,61岁, 上腹部疼痛一个月,食欲减退, 消瘦,CT所见如图, 最可能的诊断是 ( )

A、肝脓肿

B、肝转移瘤

C、胃癌肝转移

D、肝包虫病

E、原发性肝癌

  • 关注下方微信公众号,搜题查看答案

热门试题