试题详情
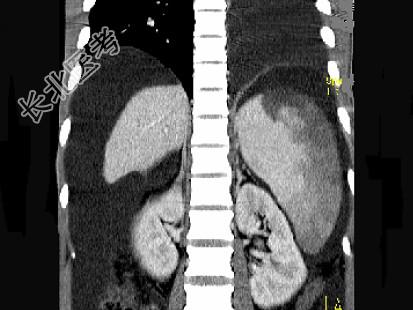
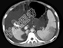
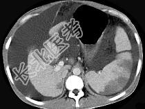
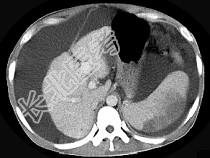
- 单项选择题患者男,29岁, 乙肝病史10余年,腹胀, 有移动性浊音,影像检查如图, 最全面的诊断是 ( )

A、肝硬化
B、肝硬化腹水
C、肝硬化腹水、脾梗、胆囊结石
D、大网膜膈下间位及脾梗
E、胆结石及脾梗
关注下方微信公众号,搜题查看答案

热门试题
- 急诊昏迷病人,轻度黄疸, 口腥臭味,双侧
- 急性普通型肝炎的病变特点是 (
- 慢性胃炎的感染因素中,目前认为最重要的细
- 慢性肝炎的病因学分类有A、自身免疫B、乙
- NCCN2009版肝癌指南推荐的局部消融
- 女性,50岁, 患糖尿病10余年,尿蛋白
- 慢性胆囊炎的病理表现有( )。A、囊
- 1、该患者要确诊,最需要做的检查是 (
- 患者,男性, 48岁。因胆囊结石入院行"
- 胃溃疡和胃癌的好发部位为A、贲门B、胃底
- 1、对明确诊断帮助不大的是A、B超B、C
- 以下叙述与溃疡性结肠炎发病无关的是(
- 治疗胆道感染性休克的关键性措施是 (
- 胃内压测定操作方法中的消化期指标有(
- 诊断轻微肝性脑病的辅助检查有( )A
- 下列哪项指标对溃疡性结肠炎病情轻重的判断
- 肝结核的基本病理变化为( )。A、异
- 急性出血坏死型胰腺炎的局部并发症A、上消
- 患者男,65岁,因感染性休克而导致多器官
- 与原发性肝外胆管结石有关的因素包括(