试题详情
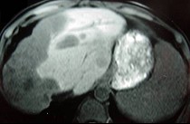
- 单项选择题女性,72岁, 腹胀不适1年,加重伴恶心、呕吐、乏力1个月, 影像检查如图,最可能的诊断为  (    )
       
- A、肝硬化腹水 
- B、原发性肝癌 
- C、肝血管瘤 
- D、巴-希综合征 
- E、局灶脂肪肝 
- 关注下方微信公众号,搜题查看答案 
 
热门试题
- 门静脉高压症常见的临床表现有 (
- 关于慢性胰腺炎的胰腺功能不全表现错误的是
- 肛门直肠测压常用的测压方法有( )。
- 属于肠内营养感染性并发症的有( )。
- 肠结核的最好发部位是A、空肠B、升结肠C
- 引起肝硬化的肝炎病毒 ( )A、
- 1、阿米巴肝脓肿临床表现中多见的首发症状
- 关于消化道运动作用的描述,哪项是错误的(
- 在急性病毒性肝炎中最早出现的肝功能变化是
- 目前临床上常用的质子泵抑制药包括(
- 男性,35岁。上腹部反复发作性疼痛5年,
- 中晚期胃癌的症状不包括( )。A、消
- 男性,65岁,有高血压及冠心病多年,某晚
- 下列哪种情况不属于肝炎后肝硬化的特征(
- 1、应紧急行哪些检查A、腹部平片B、腹部
- 加德纳综合征(Gardner综合征)的肠
- 下列哪些是胃癌患者中可出现的伴癌综合征(
- 对误服强酸所引起的急性腐蚀性胃炎,下列治
- 有关恶性胃溃疡下列正确的是A、中青年居多
- 与胃癌的发生有关的病变为A、腺上皮异型增