试题详情
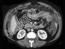
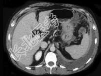
- 单项选择题女,36岁, 低热、乏力,腹胀不适1月余, 结合影像检查,应考虑为  (    )
   
- A、肝硬化腹水 
- B、结核性腹膜炎 
- C、腹腔转移瘤 
- D、心源性腹腔积液 
- E、急性化脓性腹膜炎 
- 关注下方微信公众号,搜题查看答案 
 
热门试题
- 有关主诉的内容,不正确的是 (
- 胃癌最多见的病理类型为 ( )A
- 消化系统疾病不包括哪个脏器A、胃、肠B、
- 男,55岁, 肥胖。餐后发作右上腹部阵发
- 患者男,25岁, 腹泻3d,为糊状便,
- 胃肠道气体的清除方式不包括( )。A
- 以下符合浅表性胃炎胃镜所见的有( )
- 药物性肝病的实验室检查结果正确的是(
- 胃肠减压术的适应证有( )。A、急性
- 女性患者,52岁。近4年来上腹痛反复发作
- 1、目前患者的诊断考虑(提示: 入院后进
- 1、患者目前的诊断考虑为2、目前认为哪些
- 中晚期肝癌的主要临床表现为( )。A
- 胃癌最常见的症状是A、食欲不振B、恶心、
- 肝硬化患者发生原发性腹膜炎的原因是 (
- AFP在原发性肝癌诊断中的临床意义正确的
- 下列关于慢性萎缩性胃炎叙述,不正确的是(
- 介入治疗肝血管瘤的首选方法是( )。
- 患者男,53岁,慢性胰腺炎,有长期酗酒史
- 急性胰腺炎的X线检查可见( )。A、