试题详情
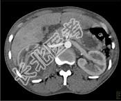
- 单项选择题一女性患者,一月前出现尿频、尿急等症状为引起注意, 现有高热,阅图后最可能的诊断为 ( )




A、急性肾盂肾炎
B、肾脓肿
C、多囊肾
D、肾结核
E、肾癌
关注下方微信公众号,搜题查看答案

热门试题
- 呼吸衰竭时缺氧的发病机制是A、患者无力呼
- 慢性肾炎的临床表现是A、病情迁延,渐进性
- 该肾病理图片诊断为 ( )
- 慢性汞中毒起病隐匿,呈慢性进程, 可表现
- cANCA阳性可见于A、显微镜下多血管炎
- 急性肾盂肾炎的病理改变不包括A、局限性或
- 患者,女性, 36岁。下肢水肿近1个月,
- 可以使入球小动脉增厚,增加血管壁巨噬细胞
- 急进性肾炎Ⅰ型的主要发病机制为A、细胞免
- 通过阅读模式图和下列两张肾脏病理图片,其
- 关于泌尿路感染的诊断治疗,哪项是不正确的
- 男性,56岁, 因急性重症胆管炎致缺血性
- 女性,15岁。上呼吸道感染后2周出现颜面
- 下列哪些是慢性肾功能衰竭的透析指征A、B
- 约20%~35%患者的临床表现可自发缓解
- 女性,53岁, 患2型糖尿病10年,发热
- 顺铂引起的肾病的肾脏病理改变显示A、近端
- 肌红蛋白尿是 ( )A、肌肉痛痉
- 真性细菌尿,伴尿N-乙酰-β-D-氨基葡
- 男性,48岁, 发现非胰岛素依赖性糖尿病