试题详情
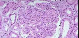
- 单项选择题该肾病理图片诊断为 ( )

A、局灶性节段性硬化
B、链球菌感染后肾小球肾炎(毛细血管内增生性肾小球肾炎)
C、新月体性肾炎
D、正常肾小球
E、系膜增生性肾小球肾炎
关注下方微信公众号,搜题查看答案

热门试题
- 青霉素引起的肾毒性以急性过敏性间质性肾炎
- 患者IgA肾病已被证实,临床症状严重、病
- 急性肾炎的临床特点为A、血尿、蛋白尿、水
- 患者女性,54岁。慢性肾炎病史20余年,
- 以下关于集合管上皮嵌入细胞的叙述,正确的
- IgA肾病的诊断依据为A、大量蛋白尿(大
- 男性,32岁,水肿、尿少、呕吐2个月,血
- 急性肾衰竭恢复期通常持续A、7~14天B
- 单纯性肾囊肿最常见的临床表现为A、患侧腹
- 淋巴道感染是指A、病原菌经由尿道上行至膀
- 尿液中出现Benee-Jones(凝溶蛋
- 下列哪项是系膜组织的作用 ( )
- 残存肾单位的肾小球血流动力学适应性变化,
- 正常人尿蛋白为A、B、C、D、>0.15
- HCV阳性的患者肾移植后,可发生A、新发
- 肾小球肾炎中血尿的特点为A、常伴蛋白尿B
- 动脉粥样硬化肾血管病与良性小动脉性肾硬化
- 肾衰竭会对药效动力学产生影响,使靶器官对
- 贯穿肾血管性高血压整个病程必不可少的手段
- 关于隐匿性肾炎,以下哪个不对 (