试题详情
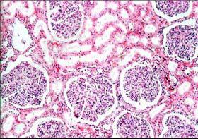
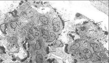
- 单项选择题通过阅读模式图和下列两张肾脏病理图片,其诊断考虑为 ( )



A、新月体性肾炎
B、弥漫性毛细血管内增生性肾小球肾炎
C、系膜增生性肾小球肾炎
D、局灶节段性硬化
E、膜增生性肾小球肾炎
关注下方微信公众号,搜题查看答案

热门试题
- 下列关于留置尿管时间长短说法中,正确的是
- 近髓袢分布于A、肾皮质迷路B、肾柱C、髓
- 直接感染是指A、病原菌经由尿道上行至膀胱
- 肾静脉主干和/或分支内血栓形成,导致肾静
- 血浆吸附的适应证包括A、肾脏和风湿免疫系
- 确诊乙型肝炎病毒相关性肾小球肾炎不可缺少
- 在促进血管再生过程中起重要作用的特异性内
- 女性,18岁, 急性肾炎2周,血压160
- 尿毒症肺炎主要属于 ( )A、变
- 阅读下述三张狼疮性肾炎病理图片后,其病理
- 类风湿关节炎的诊断标准中关于X线表现的最
- 治疗存在抗磷脂抗体的系统性红斑狼疮合并妊
- 治疗无复杂因素存在的膀胱炎,可用A、单剂
- 男性,20岁,感冒后7天出现颜面及双下肢
- 尿路感染的易感因素不包括A、女性患者,尿
- 慢性阻塞性肺气肿的肺功能检查结果,应是A
- 1、入院时动脉血气判断是A、慢性呼吸性酸
- 轻链沉积病肾损害的诊断主要依赖于A、血清
- 关于尿亚硝酸盐还原试验阳性,叙述错误的是
- 选择性肾血管造影可用于A、肾静脉肾素取样