试题详情
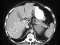
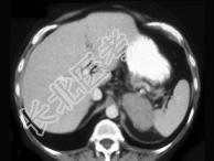
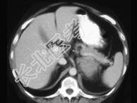
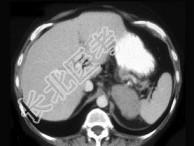
- 单项选择题女,47岁, 满月脸、向心性肥胖伴高血压1个月,请结合所提供图像, 作出诊断 ( )




A、左肾上腺腺瘤
B、左肾上腺腺癌
C、左肾上腺转移瘤
D、左肾上腺嗜铬细胞瘤
E、左肾上腺增生
关注下方微信公众号,搜题查看答案

热门试题
- 肾功能障碍或大量快速补液的等渗性失水患者
- 关于糖耐量减低的描述正确的是 (
- 女,42岁, 夜尿增多伴高血压,实验室检
- 下列临床表现和检查中考虑儿童青少年垂体生
- 患者,女性, 38岁。未婚,心悸多汗4个
- 粘连性心包炎心尖冲动A、胸骨右缘第2肋间
- 下列哪类糖尿病患者可选用双胍类降糖药
- 不刺激胰岛素分泌,主要减轻胰岛素抵抗,
- 1、应进行的检查项目是2、下一步应进行的
- 关于Graves病并发周期性瘫痪,下列哪
- 关于尿崩症的预后,下列叙述正确的有( )
- 关于TSAb的意义,下列叙述不正确的是(
- 2型糖尿病患者,因神志不清急诊。体检:
- 女性,16岁, 口干多饮2个月,下肢乏力
- 关于激素的生理作用,下述叙述正确的有(
- 胰岛素缺乏时,生物代谢过程的多种酶类活性
- 下列有关男性性腺功能减退临床表现的叙述错
- 缺钾性代谢性碱中毒的发病机制为( )。A
- 以下与1型糖尿病患者的诊断关系不很密切的
- 系统回顾的重要性不包括A、是问诊的内容之