试题详情
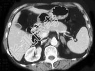
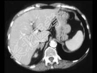
- 单项选择题女,42岁, 夜尿增多伴高血压,实验室检查: 血和尿醛固酮水平增加,请结合图像, 选择最佳答案 ( )


A、双侧肾上腺增生
B、双侧肾上腺腺瘤
C、双侧肾上腺未见异常
D、双侧肾上腺转移瘤
E、双侧肾上腺淋巴瘤
关注下方微信公众号,搜题查看答案

热门试题
- 下列关于1型糖尿病的发病机制的说法,以下
- 关于甲状腺恶性肿瘤,描述不正确的是( )
- 关于甲状腺癌,叙述正确的是A、甲状腺微小
- 以下哪些临床表现符合甲状旁腺功能亢进症A
- 患者,男性, 48岁。性欲减退、阳痿4年
- 胰岛素瘤手术后可有高血糖持续数天,其原因
- 1、为确诊患者有无甲亢,下列试验何者为首
- 1、诊断考虑 ( )A、消化道肿瘤B、甲
- 支配四肢骨骼肌的神经细胞位于A、脊髓后角
- 男,70岁, 2型糖尿病患者,因血糖控制
- 食物中的脂类主要是( )。A、卵磷脂
- 患者,男性, 50岁。患十二指肠溃疡近1
- 1、为明确诊断首先应做哪项检查2、经检查
- 1、最可能的诊断是2、不必要的检查是3、
- 抗甲状腺药物常见副作用是A、发热B、关节
- 等渗性失水引起血压下降的主要原因是( )
- 临床最常见,恶性度最轻的甲状腺恶性肿瘤是
- 常见于甲状腺功能减退症的异常是A、高尿酸
- 患者女,20岁, 有明显糖尿病症状,每日
- 磺脲类口服降糖药的不良反应有( )。