试题详情
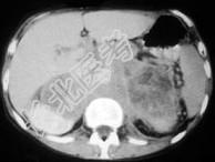
单项选择题男,76岁, 全身浅表淋巴结肿大,请结合下列图片作出诊断 ( )

A、肾上腺腺瘤

B、肾上腺癌

C、肾上腺嗜铬细胞瘤

D、肾上腺转移瘤

E、肾上腺淋巴瘤

  • 关注下方微信公众号,搜题查看答案

热门试题