试题详情
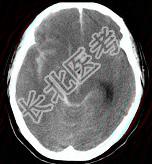
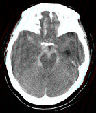
- 单项选择题成年男性,外伤后一小时出现头痛, 呕吐,查体: 颈项强直。CT检查如图,最可能的诊断是 ( )

A、硬膜外血肿
B、脑出血
C、正常脑CT
D、硬膜下血肿
E、蛛网膜下隙出血
关注下方微信公众号,搜题查看答案

热门试题
- 急性一氧化碳中毒皮肤黏膜的典型改变为A、
- 大量出汗时尿量减少,主要是因为A、交感神
- 关于中暑患者的处理,错误的是A、高热患者
- 胆总管探查术,安放T管引流,术后拔除T管
- 1、予以吸氧(5L/min)后,患者外周
- 患者,男, 70岁。昏迷,BR1O次/分
- 中心静脉压监测主要反映( )。A、腹
- 判断失血性休克的主要依据有 (
- 有关暗适应的描述,不正确的是A、缺乏维生
- 单纯扩散和易化扩散的共同特点为A、均有蛋
- 心跳呼吸骤停患者正确触摸颈动脉的手法是
- 1、患者最可能的诊断是2、患者突然心跳停
- 感染性结石的非手术治疗包括下列哪项A、应
- 一高血压患者,突然昏迷且程度很快加重,
- 男、56岁,突发晕厥收入ICU,心率39
- 男性患者,65岁, 有高血压病史20余年
- 低钾血症患者,补钾后病情仍无改善时,应首
- 不是负反馈调节特点的有A、具有滞后现象B
- 事故发生后现场救援需要做到A、物资供给配
- 1、还需补充的关键病史为A、阑尾炎手术史