试题详情
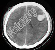
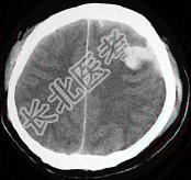
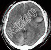
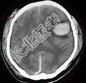
- 单项选择题女,52岁, 有高血压病史,半小时前突感头晕, 剧烈头痛,摔倒在自家楼下, CT检查如图所示,最可能的诊断是 ( )




A、转移瘤
B、胶质瘤
C、脑梗死
D、脑膜瘤
E、脑出血
关注下方微信公众号,搜题查看答案

热门试题
- 1、此患者考虑可能存在脓毒症,故需行SO
- 休克时,监测尿量的主要目的是了解 (
- 与传染性非典型肺炎患者密切接触者,隔离观
- 大量使用以下利尿剂可能会产生低渗性脱水的
- 判断毒鼠强中毒程度、指导治疗和评估预后的
- 与能量代谢率的高低基本上成正比的有A、身
- 机体内透细胞液指的是A、关节囊液B、消化
- 以下脑血管病出现血性脑脊液的几率最高的是
- 疑诊肺栓塞时应进行的检查,除了A、心电图
- 男性,65岁, 患糖尿病15年,长期应用
- 1、当前应首先进行的紧急处理是A、胸部C
- 毛细血管出血的表现是( )。A、血色
- 医护人员进入传染性非典型肺炎病区必须戴棉
- 一塌方工地,有一股骨骨折并失血性休克患者
- 头部或背部受伤患者通常采用的搬运方法A、
- 有机磷杀虫药中毒的毒蕈碱样表现不包括
- 应在启动急救医疗服务系统后多少分钟内完成
- 治疗AOPP时,哪一项不是阿托品化的指标
- 患者男性,56岁。反复上腹胀痛1年, 进
- 生物利用度指的是药物A、吸收入血循环的相