试题详情
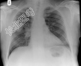
- 单项选择题58岁,男, 咳嗽、气促3个月,抽烟20余年, 请结合胸片图,选择最可能的诊断 ( )

A、肺癌
B、胸膜间皮瘤
C、肺结核
D、错构瘤
E、结节病
关注下方微信公众号,搜题查看答案

热门试题
- 原发性肺结核自然演变过程中,最常见的是
- 女性,63岁。糖尿病、高血压病史3年,
- 女性,15岁, 低热37.5℃,伴干咳4
- 关于慢性阻塞性肺气肿的体征描述不正确的是
- 1、最可能的诊断是 ( )2、对
- 关于白细胞尿,哪项不正确A、白细胞尿均提
- 下列哪项对于肺炎支原体肺炎的诊断意义不大
- 慢性肺心病应用强心剂的指征是A、心率>1
- 女,32岁, 鼻梁双颊部出现红斑伴发热咳
- 关于化学性胸膜固定术,错误的是 (
- 支气管哮喘急性发作期,呼吸困难加重时,肺
- 符合中枢性睡眠呼吸暂停综合征临床表现的是
- 男性,53岁。因慢性咳喘30余年。晨起排
- 患者,男性, 78岁。尸检见肺组织散在多
- 有关ALI/ARDS,糖皮质激素治疗有确
- 特发性肺含铁血黄素沉着症时,病理学和血清
- 肺癌引起的压迫症状有A、声音嘶哑B、腔静
- 1、最可能的诊断是2、该患者应用抗生素治
- 男,67岁, 胸痛半个月,胸片检查如图,
- 弥漫性肺间质疾病是指A、发生于肺泡壁及肺