试题详情
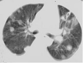
- 单项选择题女,32岁, 鼻梁双颊部出现红斑伴发热咳嗽2周,肘腕关节游走性疼痛, 请结合CT,选择最可能的诊断为 ( )


A、肺部感染
B、结节病
C、肺类风湿病
D、SLE肺部浸润
E、韦格肉芽肿
关注下方微信公众号,搜题查看答案

热门试题
- 男,12岁, 反复咳嗽咳痰多年,CT如图
- 男,62岁, 常夜间发作哮喘,伴频繁咳嗽
- 1、下列叙述不够准确的是( )。A、
- 哮喘发作不会出现A、FEV1/FVC%下
- 关于高分辨率CT扫描技术的特点,叙述错误
- 结核性渗出性胸膜炎与恶性胸腔积液最主要的
- 1、此患者最需鉴别的是2、在没有确诊情况
- 慢性肺心病应用强心剂的指征是A、心率>1
- 在慢性肺心病的发生、发展过程中,导致肺血
- 下列哪种生物活性物质的作用可舒张支气管
- 1、该患者最可能的诊断是A、肺炎链球菌肺
- 男,30岁, 醉酒后高热、寒战、烦躁不安
- 鉴别是不是Somogyi现象的最好的方法
- 女性,既往十二指肠溃疡病史10年, 着凉
- 女性,28岁, 新婚,尿频、尿急尿痛3天
- 以下哪项是诊断大面积肺血栓栓塞症的必备依
- 1、该患者诊断是2、应立即采取什么措施
- 导致误吸的因素有A、口咽部感染B、神志改
- 男,32岁, 外出旅游1个月后,咳嗽1周
- 男性,43岁。胃溃疡病史6年, 半年来加