试题详情
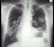
- 单项选择题男,67岁, 胸痛半个月,胸片检查如图, 最可能的诊断为 ( )

A、左上肺结核球
B、左上肺周围型肺癌
C、左上肺炎性假瘤
D、左上肺球形不张
E、左上肺脓肿
关注下方微信公众号,搜题查看答案

热门试题
- 男,45岁, 胸痛,咳嗽, 咳痰半月余,
- 肥厚型心肌病A、心肌收缩期泵血功能障碍B
- 结核性渗出性胸膜炎,胸腔穿刺排液时, 下
- 男性,18岁。反复发作喘息3年, 可自行
- 慢性支气管炎的诊断标准A、咳嗽、咳痰或伴
- 男,68岁, 咳嗽,胸痛, 呼吸困难伴四
- 下列哪种药物适用于哮喘的巩固治疗、预防复
- 男性,43岁。因气喘、呼吸困难6个月,
- 1、最可能的诊断是2、对该患者进行下一步
- 1、最可能的诊断是 ( )2、首
- 以下符合ARDS表现的是A、PaO₂B、
- 患者,男性, 38岁。气胸患者,胸部X线
- 支气管舒张试验阴性的可能原因不包括A、轻
- 肺心病时最常见的心脏改变是A、左心房+左
- 男性,65岁,诊断肺炎球菌肺炎,出现呼吸
- 男,3岁, 活动气喘,查体压头颅骨有乒乓
- 男,26岁, 自觉肌无力2周,胸片检查见
- 鉴别是不是Somogyi现象的最好的方法
- 肺结核化学治疗的主要作用A、杀菌作用B、
- 女性,23岁。反复轻咳、盗汗3年。3年前