试题详情
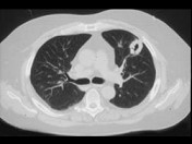
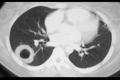
- 单项选择题男,45岁, 胸痛,咳嗽, 咳痰半月余,发热, 既往有副鼻窦炎病史,CT检查如图, 选择最可能的诊断 ( )


A、结节病
B、周围型肺癌
C、韦格肉芽肿
D、肺转移瘤
E、结核球
关注下方微信公众号,搜题查看答案

热门试题
- 关于胸腔积液形成的机制,下列哪一项是错误
- 1、该患者最可能的诊断是( )。A、
- 肺脓肿实验室检查方法的运用,下列何项错误
- 气胸发病过程中,气体进入胸腔的途径, 不
- 成人呼吸窘迫综合征血气分析典型变化为A、
- 1、下列哪种药物可长期使用并预防夜间发作
- 下列关于二棕榈酸卵磷脂(DPL)的生理意
- 男,35岁,畏寒高热咳脓痰3个月。胸片示
- 一男性,66岁。慢性咳嗽20余年,近5年
- 1、该患者应诊断为 ( )2、肺
- 慢性肺源性心脏病并发心律失常,常见类型是
- 1、最适合该患者的诊断及处理是2、最佳治
- 咯血的常见原因是A、肺结核B、风湿性心脏
- 左心衰竭时肺部啰音的特点A、两肺散在干、
- 慢性肺脓肿大咯血的病理基础是 (
- 结合肺段模式肺动脉干与右肺动脉层面肺动脉
- 有关肺气肿的发生机制下列哪项是错误的
- 男性,43岁。因气喘、呼吸困难6个月,
- 男性患者,32岁。因脓毒败血症并发休克和
- 急性血行播散型结核病合并有ALT中度升高