试题详情
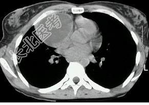
- 单项选择题女,18岁, 自感胸闷,X光检查见纵隔占位, CT检查如图,最可能的诊断为 ( )

A、纵隔畸胎瘤
B、上纵隔胸腺瘤
C、胸内甲状腺瘤
D、淋巴瘤
E、下纵隔胸腺瘤
关注下方微信公众号,搜题查看答案

热门试题
- 男性,65岁。咳嗽、咳痰10余年,反复下
- 睡眠呼吸暂停低通气综合征常见的临床症状包
- 肺性脑病的治疗应采用A、保持呼吸道通畅B
- 肺脓肿切除肺叶的指征是A、血源性肺脓肿B
- 肝硬化腹水患者,近一周发热,腹痛,腹胀较
- 女,71岁, 咳嗽,咳痰, 胸部隐痛2月
- 慢性肺心病并发休克的原因有A、严重感染B
- 男,56岁, 咳嗽,咯血1月余, 有吸烟
- 有关肺曲霉病,以下影像学表现哪一项不是正
- 对肾脏毒性较大的抗结核药是A、乙胺丁醇B
- 临床确诊DPB的必要条件包括( )。
- 肺间质纤维化患者初期动脉血气主要表现是A
- 关于支气管哮喘,叙述正确的是( )。
- 关于漏出性胸腔积液,正确的是A、多为单侧
- 磺脲类药物的主要副作用是A、恶心,呕吐B
- 支气管哮喘急性发作伴窦性心动过速,哪一项
- 药物治疗CTD-ILD首选A、环磷酰胺B
- 女性,68岁, 原有肺心病病史。受凉后发
- 女性,30岁。5天前淋雨后发冷发热胸痛,
- 关于肾小球疾病发病机制不正确的是A、是免