试题详情
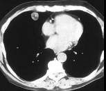
- 单项选择题女,71岁, 咳嗽,咳痰, 胸部隐痛2月余,请结合影像学检查, 选出最可能的诊断 ( )


A、肺癌
B、肺结核
C、肺错构瘤
D、结节病
E、肺转移瘤
关注下方微信公众号,搜题查看答案

热门试题
- 骨髓和外周血中性分叶核粒细胞的碱性磷酸酶
- 不是良性肿瘤的是A、平滑肌瘤B、横纹肌瘤
- 1、患者意识障碍最可能的原因是出现(
- 下列抗结核药物中哪些属于抑菌剂A、链霉素
- 慢性肺心病患者心力衰竭时加用利尿药的原则
- 结核病全身中毒症状中哪项最多见A、夜间盗
- 男性,18岁。反复发作喘息3年, 可自行
- 药物可导致的肺部变化有A、间质性肺炎B、
- 男,27岁, 干咳,呼吸困难半月余, 有
- 下列关于肺嗜酸性粒细胞增多症(PIE)不
- 下列哪种尿毒症毒素属于中分子毒性物质A、
- 肺结核化疗联合用药的最重要的意义是 (
- COPD合并慢性肺心病最常见的死亡原因是
- 有关肺结核的临床分型,下列哪项是错误的
- 男性,68岁。反复咳嗽、咳痰20余年,
- 肺泡蛋白沉着症患者,支气管肺泡灌洗液的特
- 下列哪些是容易引起ARDS的间接因素A、
- 铁蛋白和含铁血黄素储存于A、中性粒细胞B
- 下述属于DPB典型表现的是( )。A
- 女性,70岁。慢性咳嗽、咳痰20余年,