试题详情
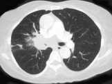
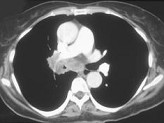
- 单项选择题男,56岁, 咳嗽,咯血1月余, 有吸烟史30余年,结合CT检查图, 选出最可能的诊断 ( )

A、肺结核
B、肺炎
C、结节病
D、肺错构瘤
E、中央型肺癌
关注下方微信公众号,搜题查看答案

热门试题
- 确诊肺癌的检查不包括以下哪一项 (
- 男性,50岁,畏寒,高热10天,咳多量痰
- 对吸入糖皮质激素治疗反应良好的疾病有A、
- 关于脑MRI检查,说法正确的是A、200
- 1、为明确诊断,必要的检查项目包括(提示
- 女性,28岁。反复口腔溃疡2年, 伴反复
- 关于肺癌的放射治疗,哪一种病理类型的放射
- 以下各项正确的是A、支原体肺炎首选红霉素
- 慢性肺心病引起肺动脉高压最主要的原因是A
- 1、最可能的诊断是2、对该患者的药物治疗
- 男性,47岁。反复咳嗽、咳脓痰30余年。
- 结核性胸膜炎若使用糖皮质激素,以下说法中
- 下列哪个症状是由肺癌的非转移作用所致,除
- 对胸膜和肺体表投影的叙述,不正确的是A、
- 重症支气管哮喘发作伴酸中毒时,疗效最容易
- 1、该患者的诊断是2、该患者气短可能合并
- 咯鲜血特别是24小时达到300ml以上可
- 1、该病例的诊断首先考虑为2、为明确诊断
- 张力性气胸的急救处理是 ( )A
- 中量胸腔积液患者,进行胸穿抽液治疗,缓慢