试题详情
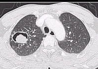
- 单项选择题女性,32岁。1个月前诊断为系统性红斑狼疮, 经激素治疗症状稍好转。近3天发热、咳嗽、咳少许粘痰。体检:肺呼吸音粗, 无啰音。胸部CT示右下肺邻近胸膜处结节影。结节影呈晕轮征(ha1osign)(如图),最可能的诊断是 ( )

A、血源性肺脓肿
B、金黄色葡萄球菌肺炎
C、肺曲菌球
D、原发性支气管肺癌
E、Wegener肉芽肿
关注下方微信公众号,搜题查看答案

热门试题
- 1、根据目前的资料,该患者在硅沉着病的基
- 肺功能检查表现为阻塞性通气功能障碍的疾病
- 对于缺氧对机体的影响,下列不正确的是A、
- 根据美国联合癌症分类委员会和国际抗癌联盟
- 女性,35岁。有反复关节红肿病史, 因活
- 诊断深静脉血栓形成的敏感性和特异性最高的
- 女性,20岁。近2个月胸闷, 乏力,咳嗽
- 渗出液的特点包括( )。A、局部炎症
- 胸腔抽液每次不宜超过A、0.5~1LB、
- 恶性胸腔积液行胸膜固定术的说法,正确的是
- 结核性渗出性胸膜炎与恶性胸腔积液最主要的
- 结核预防性化疗适用于( )A、HI
- 关于慢性呼吸衰竭支持疗法,下列何者正确
- 女性,46岁。近1年来出现双手掌指、近端
- 患者,女性, 30岁,咳嗽3周, 结核菌
- 1、该患者诊断应考虑( )。A、慢性
- 监测肺组织纤维化程度最简单、最实用的方法
- 关于急性呼吸衰竭的病因,以下正确的是A、
- 为预防气压伤应注意A、吸气压尤其是峰压值
- 迟发型哮喘反应(LAR)的特点是A、常呈