试题详情
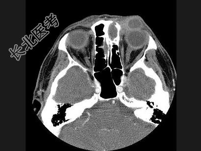
- 单项选择题女,40岁, 眼眶周围软组织发红、肿胀3周,CT扫描如图, 最可能的诊断是 ( )

A、左侧眼眶黏液瘤
B、左侧眼眶脓肿
C、左侧眼眶黏液囊肿并感染
D、左侧眼眶脂肪瘤
E、左侧眼眶血管瘤
关注下方微信公众号,搜题查看答案

热门试题
- 对胸部纵隔淋巴结检出率最高的是A、胸部透
- 放大摄影允许最大放大倍数的决定因素是A、
- 介入放射学分类正确的是A、内科、外科B、
- 乳腺纤维腺瘤X线表现为 ( )
- 听神经瘤的特点不包括A、T2加权像高信号
- 胶片未经曝光而显影加工处理后产生的密度称
- 关于CT伪影的叙述,错误的是A、伪影通常
- 150 kV的管电压产生的X线的最短波长
- 男性,12岁。智力低下、言语障CT检查如
- 右冠状动脉的主要分支除外A、右心房支B、
- 女,25岁, 因眼部外伤来院就诊,CT如
- 患者男,41岁,体检X线提示纵隔增宽,C
- 显示颅脑CT图像的窗宽、窗位选择正确的是
- 关于颅骨侧位,诊断学要求清晰可见的结构是
- 经肾脏排泄的对比剂在尿中浓度与哪些因素有
- 有关静脉肾盂造影腹部压迫的叙述,错误的是
- 高浓度顺磁造影剂对质子弛豫时间的影响为
- 甲状腺侧叶上极不超过 ( )A、
- 男,53岁, 左眼痛、突出3年,结合图像
- 胸部连续扫描,个别层面CT图像出现重复,