试题详情
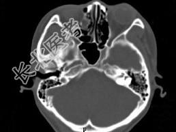
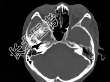
- 单项选择题女,25岁, 因眼部外伤来院就诊,CT如图所示, 最可能的诊断是 ( )

A、右侧颧弓骨折伴筛窦积血
B、右眼眶内侧壁骨折伴筛窦积血
C、右眼眶外侧壁骨折伴筛窦积血
D、右眼眶内外侧壁骨折伴筛窦积血
E、蝶骨骨折伴筛窦积血
关注下方微信公众号,搜题查看答案

热门试题
- 标识X线的放射方式称为A、自激辐射B、特
- 前列腺癌影像学表现以下哪一项是错误的A、
- 关于胫腓骨前后位标准影像,叙述正确的是A
- 属于网状内皮细胞性MR特异对比剂的是A、
- CT机的管电压一般在A、80~100kV
- 女,12岁, 自幼右侧听力丧失,CT检查
- 关于肱骨前后位体位,叙述正确的是A、受检
- 1、临床增强CT不能确诊肿瘤强化程度时,
- 有关鳃裂囊肿的描述,正确的是A、为鳃沟或
- 超导开放型MR设备优势的论述,错误的是
- Graves眼病急性期,增粗的眼外肌MR
- 在影像板中,能够产生光激励发光的物质是A
- 磁场对环境的影响范畴不包括A、依机械原理
- 关于前列腺癌的描述,正确的是A、前列腺癌
- 能较好地反映胆囊浓缩功能的造影方法是A、
- 与钨构成合金并组成常规X线管靶面材料的是
- 升主动脉唯一分支是A、锁骨下动脉B、颈总
- DR使用的检测装置是 ( )A、
- 患者男,64岁,胸部隐痛伴眼睑下垂2个月
- 调节声带运动的软骨主要为 ( )