试题详情
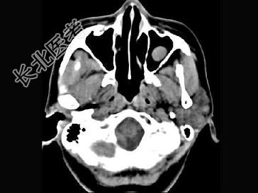
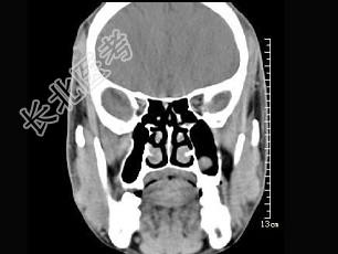
- 单项选择题男,7岁, 无明显症状,CT如图所示, 最可能的诊断是 ( )



A、上颌窦淋巴瘤
B、上颌窦炎
C、上颌窦黏膜下囊肿
D、上颌窦乳头状瘤
E、鼻炎及副鼻窦黏膜下囊肿
关注下方微信公众号,搜题查看答案

热门试题
- 属于图像处理与分析功能的是A、参考图像调
- 被称为CT图像硬拷贝的是A、激光成像照片
- 女,18岁, 眼球轻度突出、眼痛、流泪近
- 以最低辐射剂量,获最高像质,为诊断提供可
- 女,17岁, 发现左侧颈部包块半年余,P
- 下列不是CT防护中常用的辐射剂量的是A、
- 患者,男,57岁,有冠心病史。突感胸背部
- CT的管电流一般在 ( )A、1
- 肾区前后位摄影,中心线应对准 (
- 影像解剖“申通线”位于A、踝关节正位像B
- 泌尿系造影常用的X线检查方法是A、膀胱造
- 关于缩短顺磁性对比剂弛豫时间的因素,叙述
- 鞍区CT扫描技术不包括A、横断位扫描鞍区
- 下列关于鼻咽纤维血管瘤的描述,错误的是A
- 医用打印机按成像方式分类可分为A、胶片打
- 关于腹部脏器的增强扫描CT检查,错误的是
- 正确的照片冲洗(水洗)处理程序是A、显影
- CT值的单位是A、KWB、HUC、WD、
- CT图像拍摄中最重要的是A、测量CT值B
- 关于CT增强扫描,说法错误的是A、常规增