试题详情
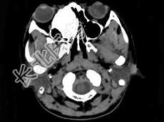
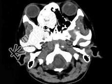
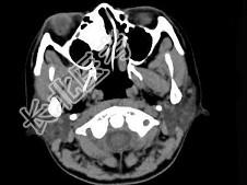
- 多项选择题女,18岁, 眼球轻度突出、眼痛、流泪近半年,CT扫描如图所示, 正确的描述或诊断是 ( )

A、右侧筛窦内见致密骨化影,鼻中隔向左偏
B、致密肿块影向右侧眼眶内突出,右眼内直肌受压
C、筛窦壁及鼻中隔未见骨质破坏
D、副鼻窦(筛窦)内骨瘤
E、副鼻窦(筛窦)内软骨瘤
关注下方微信公众号,搜题查看答案

热门试题
- 下列选择中,张口位不能显示是哪项 (
- 对于先天性巨结肠(Hirschsprun
- 正确描述T1加权图像的是A、长T1组织为
- 指出下列说法中错误者A、X线束是从X线管
- 头颅外伤昏迷患者摄影时应选用的体位是A、
- 胎儿受X线照射的主要危害不包括 (
- 普大型心脏多见于 ( )A、大
- 矢状面与胶片平行的摄影体位有 (
- 患者50岁,男,右侧胸痛、咳嗽、咯血3个
- 鼻咽鳞状细胞癌的下列描述,错误的是A、可
- 关于散射线及其影响因素的说法,错误的是
- 腹部摄影条件选择,错误的是A、使用滤线器
- 四肢CT检查采用双侧同时扫描的目的是A、
- 可用作X线胶片感光物质的是A、AgBrB
- 骨骼的CT值 ( )A、0~20
- 患者女,28岁, 反复咯血半个月余,CT
- 在胸部正位取后前立位摄片的原因中,下列哪
- 调制传递函数(MTF)的值域为A、(0,
- CT基本设备不包括A、扫描架、扫描床和X
- MRI扩散加权成像技术的临床应用叙述错误