试题详情
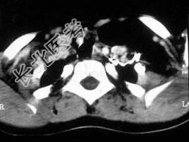
- 单项选择题女,17岁, 发现左侧颈部包块半年余,PE: 病灶质软,境界不清, 无压痛,CT如图所示, 最可能的诊断是 ( )

A、颈部脂肪瘤
B、颈部畸胎瘤
C、颈部错构瘤
D、颈部淋巴管瘤
E、颈部陈旧性血肿
关注下方微信公众号,搜题查看答案

热门试题
- 怀疑豌豆骨骨折,最佳投照体位是 (
- 胸骨角相当于A、第1、2胸椎水平B、第2
- 自旋回波信号与梯度回波信号的差异是A、信
- 眼球早期脉络膜黑色素瘤CT平扫可以显示的
- 关于CR的工作原理,错误的是 (
- 我国介入放射学的发展简史中,下述哪些是正
- 侧位X线片成人眼眶呈A、锥形B、圆形C、
- 以下临床或影像表现符合原发性硬化性胆管炎
- 与平片相比,下列哪项不是CT优势 (
- 胃癌的CT表现有A、大小不等的软组织肿块
- 胸型分四种,不包括A、肥胖型B、一般型C
- 下面对颅脑CT后处理技术应用正确的是A、
- 下列窗宽的概念正确的是A、通常CT机的窗
- 构成照片影像的要素中,属于几何因素的是
- 在两种组织交界处见到“化学位移”伪影,则
- 患者男,64岁,胸部隐痛伴眼睑下垂2个月
- 关于扫描参数接收带宽,叙述正确的是A、接
- 下列穿刺部位,哪个最少用 ( )
- 以下哪项技术是胰腺疾病的首选检查方法A、
- 黑色素瘤肾上腺转移的信号特征是A、长T<