试题详情
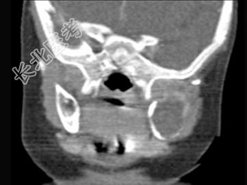
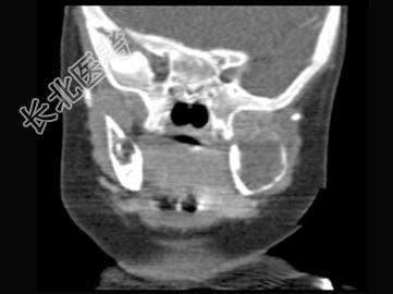
- 单项选择题男,2岁, 左侧颜面部、右肩部肿块,疼痛, 结合图像,最可能的诊断是 ( )

A、骨结核
B、骨髓炎
C、骨嗜酸性肉芽肿
D、骨囊肿
E、骨肉瘤
关注下方微信公众号,搜题查看答案

热门试题
- 放化疗后,有关骨髓的描述错误的是A、最初
- 脂肪瘤多见于下述哪些部位 (
- MRI检查肩袖破裂,哪一种加权像不易显示
- 男,30岁, 踝关节有内翻外伤史,结合图
- 骨折断端移位的描述中,正确的为A、横向移
- 关于软组织血肿,描述正确的是:A、如没有
- 腰椎侧隐窝的后界是 ( )A、上
- 女,4岁, 左腿跛行2个月。结合图像,最
- 横突骨折最常见于( )。A、颈椎B、
- 指出属于软骨类的肿瘤是 ( )A
- 女,41岁, 2小时前跌倒后手掌着地,右
- 骨质破坏的基本X线表现是A、骨密度减低B
- 骨皮质的MRI信号表现为 ( )
- 下列关于关节滑膜结核的X线表现,错误的是
- 常见于骨干的病变,除外( )。A、骨
- 男,40岁, 慢性左膝痛,结合图像, 最
- 椎弓崩裂最好发于A、椎弓根B、椎弓峡部C
- 女,18岁, 左锁骨疼痛、肿胀,无发热,
- 关于软组织血管瘤CT征象的描述,不正确的
- 脊柱有5个移行带,包括下述哪些 (